59, Opposite Oakwood Estate, Akashneem Marg, DLF Phase – 2, Gurugram
Book an Appointment

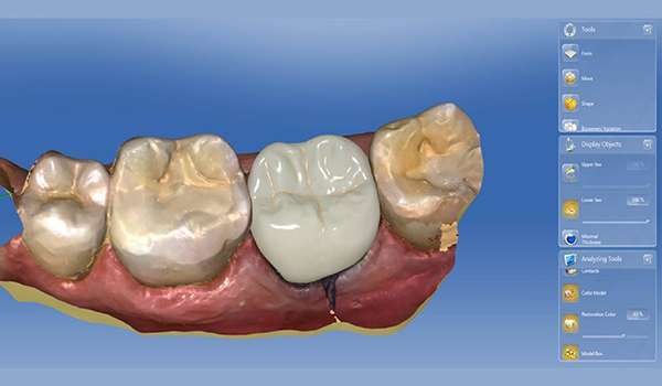
CEREC One-Day Crown

CEREC One-Day Crowns, also known as same-day crowns, leverage state-of-the-art CEREC technology (Chairside Economical Restoration of Esthetic Ceramics) to design, create, and place dental crowns in just one visit. This process utilizes advanced CAD/CAM (Computer-Aided Design/Computer-Aided Manufacturing) systems to provide patients with high-quality, perfectly fitted crowns without the need for multiple appointments.

At The Dental Cure, we pride ourselves on offering innovative dental solutions to ensure our patients receive the best care possible. One of our standout services is the CEREC One-Day Crown, a revolutionary dental crown treatment that combines speed, precision, and convenience, all within a single appointment.

BOOK AN APPOINTMENT

The CEREC One-Day Crown Process at The Dental Cure

  1. Preparation: Our experienced dentists start by preparing the affected tooth, removing any decay or old fillings, and shaping it to ensure a perfect fit for the crown.
  2. Digital Impression: Using an intraoral scanner, we take a highly detailed 3D digital scan of your tooth and surrounding area. This eliminates the need for traditional, messy impressions and ensures greater accuracy.
  3. CAD Design: The digital scan is fed into our advanced CAD software, where our dentists meticulously design your crown to match the size, shape, and fit of your natural teeth, ensuring a seamless blend.
  4. CAM Milling: Once the design is finalized, it is sent to our in-office milling machine. The machine carves your crown from a high-quality ceramic block in just minutes, ensuring both durability and aesthetics.
  5. Placement: The newly milled crown is then tried in to check the fit and appearance. Any necessary adjustments are made on the spot. Finally, the crown is polished and permanently bonded to your tooth using dental adhesive.

Advantages of CEREC One-Day Crowns at The Dental Cure

  • Time Efficiency: Complete your crown treatment in a single visit, saving you time and reducing the number of trips to the dentist.
  • Enhanced Comfort: Digital impressions mean no more uncomfortable, messy molds, and the entire process is designed to be as smooth and comfortable as possible.
  • Precision and Aesthetics: Our advanced CAD/CAM technology ensures your crown fits perfectly and looks natural, blending seamlessly with your existing teeth.
  • Convenience: Eliminate the need for temporary crowns and multiple appointments, making your dental care more convenient and less disruptive to your schedule.

Why Choose The Dental Cure?

The Dental Cure, an ISO-certified world-class dental clinic in Gurgaon, is dedicated to providing exceptional dental services using the latest technology. Our qualified team of dentists ensures that every treatment is performed with the utmost precision and care. We believe that dental treatments should be quick, painless, and affordable.

Our approach combines expertise, advanced equipment, and a patient-centered philosophy to ensure you leave our clinic with a smile. Whether you need a CEREC One-Day Crown or any other dental treatment, trust The Dental Cure to deliver unparalleled care and results.

Visit The Dental Cure

Experience the benefits of modern dental technology with CEREC One-Day Crowns at The Dental Cure. Our commitment to excellence and patient satisfaction makes us the ideal choice for all your dental needs. Schedule your appointment today and discover the convenience and quality of our advanced dental treatments.

BOOK AN APPOINTMENT

At The Dental Cure, your dental health and comfort are our top priorities. With our advanced CEREC One-Day Crown technology, we ensure precise diagnoses and effective treatment plans, helping you achieve optimal dental health. Visit us today and experience the difference in dental care excellence.