Fissure Sealants Treatment in Gurgaon for Cavity Prevention
The top surfaces of your teeth – where the chewing takes place – aren’t smooth and flat. They are cris-crossed with tiny hills and valleys – called pits and fissures. These are places where plaque can build up safe from your toothbrush and dental floss. Some of the pits and fissures are so narrow that even a single bristle from your toothbrush can’t get deep enough to clean them out.
At The Dental Cure, we address this issue by applying pit and fissure sealants. Our experienced dentists use the latest technology to ensure the sealant covers these tiny grooves effectively, providing a smooth surface that protects against plaque and decay. This preventive measure helps keep your teeth healthy and reduces the need for more invasive treatments in the future.
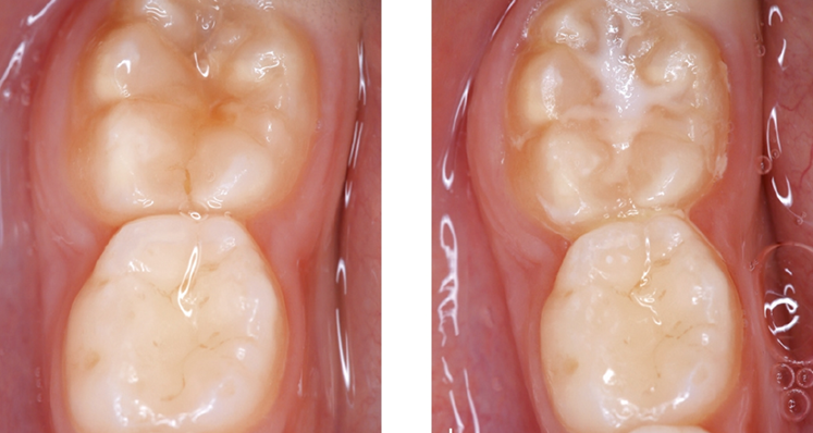
Before sealant application.
After sealant application.
Talk To A Dentist
DENTAL
CURE
WONDERING
WHAT IS BEST
FOR YOU?
Advantages of Pit and Fissure Sealants
Pit and fissure sealants offer several advantages, particularly in preventive dental care for children and adults. Here are some key benefits:
- Prevents Tooth Decay: Sealants act as a protective barrier, preventing food particles and bacteria from settling into the grooves of molars and premolars, which are highly susceptible to cavities.
- Cost-Effective: Applying sealants is a cost-effective preventive measure compared to the potential costs of dental treatments for cavities and other decay-related issues.
- Quick and Painless Application: The process of applying sealants is quick, non-invasive, and painless, making it a suitable procedure for children and adults.
- Long-Lasting Protection: Sealants can provide effective protection for several years, often lasting through the most cavity-prone years of childhood.
- Easy Maintenance: Sealants require no special care other than maintaining good oral hygiene practices, regular brushing, and dental check-ups.
- Versatility: Sealants can be applied to both permanent and primary (baby) teeth, offering protection during the critical years when children are learning to brush effectively.
- Enhances Dental Health: By preventing cavities and decay, sealants contribute to overall dental health, reducing the need for more invasive treatments like fillings and crowns.
- Safe and Effective: Sealants are made from safe materials and have been proven effective in numerous studies, endorsed by major dental associations.
- Improves Oral Hygiene: With the grooves and fissures sealed, teeth are easier to clean, helping maintain better oral hygiene.
Incorporating pit and fissure sealants into a regular dental care routine can significantly reduce the risk of tooth decay and enhance overall oral health.
Procedure for Applying Pit and Fissure Sealants
Preparation:
- Clean the Tooth: The dentist cleans the tooth to remove any debris.
- Keep it Dry: The tooth is kept dry using cotton rolls or a dental dam.
Etching:
- Apply Etchant: An acid solution is applied to roughen the tooth surface.
- Rinse and Dry: The etchant is rinsed off, and the tooth is dried.
Sealant Application:
- Place Sealant: The dentist applies the sealant material into the grooves of the tooth.
- Ensure Coverage: The sealant is spread to cover all pits and fissures.
Curing:
- Harden the Sealant: A special blue light is used to harden the sealant.
Final Checks:
- Check and Adjust: The dentist ensures the sealant is properly placed and adjusts if necessary.
Aftercare:
- Wait to Eat or Drink: Avoid eating or drinking for 30 minutes.
- Regular Check-Ups: Visit the dentist regularly to check the sealants.
What Our Customers Say About Dental Cure
FAQs about Pit and Fissure Sealants
Pit and fissure sealants are a protective coating applied to the chewing surfaces of the back teeth (molars and premolars) to prevent cavities.
Sealants fill the grooves and pits in the teeth, creating a smooth surface that keeps food particles and bacteria out, reducing the risk of decay.
Sealants are most beneficial for children and teenagers, but adults without decay or fillings in their molars can also benefit.
Sealants can last several years but should be checked during regular dental visits and reapplied if necessary.
No, applying sealants is a quick and painless process. There is no drilling or removal of tooth structure involved.
The tooth is cleaned and dried, an acid solution is applied to roughen the surface, the sealant is painted onto the tooth, and a special light hardens it.
No special care is needed for sealants. Maintain good oral hygiene practices, such as brushing twice a day and flossing, and visit the dentist regularly.
Sealants are typically applied to teeth without cavities. However, if a tooth has very early signs of decay, the dentist may decide to apply a sealant to prevent further damage.
Sealants are usually clear, white, or slightly tinted and are not easily noticeable when you talk or smile.



